Giới thiệu chung

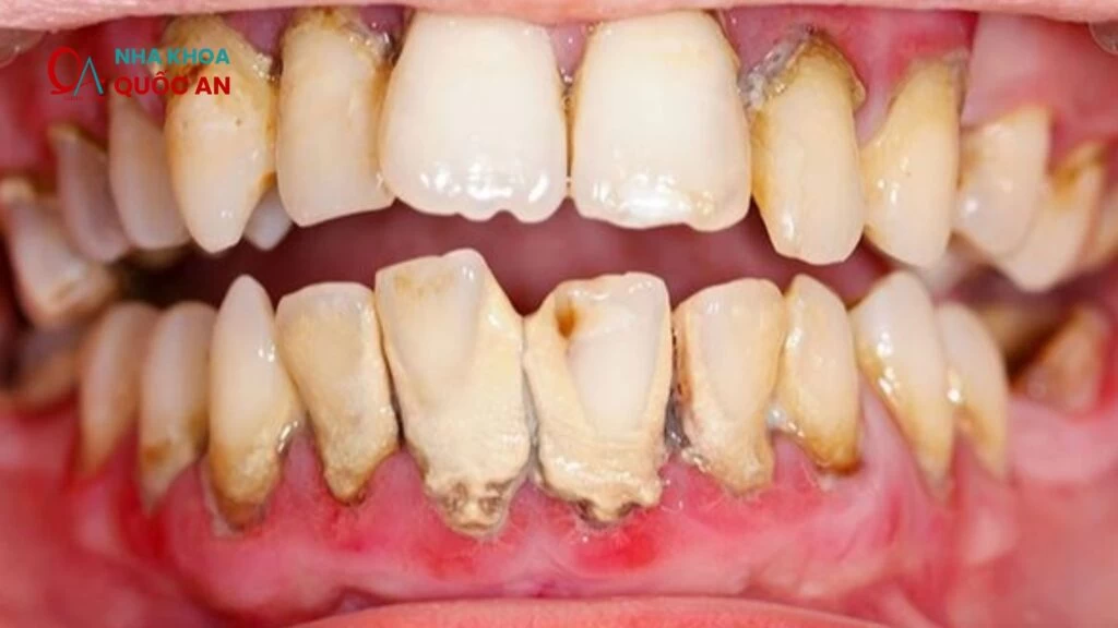
Nha khoa tổng quát là dịch vụ chăm sóc và điều trị các vấn đề răng miệng tổng quát cho mọi lứa tuổi. Các vấn đề như sâu răng, viêm nướu, viêm quanh răng, và nhiều tình trạng khác được xử lý hiệu quả để ngăn ngừa các vấn đề phức tạp hơn như viêm nha chu, nhiễm trùng lan rộng trong xương hàm, và nguy cơ mất răng.
Khi Nào Cần Khám Nha Khoa Tổng Quát?
Khám nha khoa tổng quát là bước đầu tiên và cần thiết khi khách hàng đến Nha Khoa Quốc An để kiểm tra sức khỏe răng miệng. Đây là quy trình quan trọng cho:
- Người có các vấn đề răng miệng: Bao gồm sâu răng, viêm nướu, viêm nha chu, viêm tủy răng, gây đau nhức và ảnh hưởng đến ăn nhai và sinh hoạt hàng ngày.
- Người có nhu cầu thăm khám định kỳ: Để làm sạch răng và phòng ngừa các bệnh răng miệng.
- Cha mẹ muốn chăm sóc và theo dõi tình trạng răng miệng của con từ sớm, đặc biệt khi có các dấu hiệu như sâu răng, răng mọc lệch, hoặc không thay răng.

Ưu Điểm Của Nha Khoa Tổng Quát

Dịch Vụ Nha Khoa Tổng Quát Tại Quốc An
Nha khoa tổng quát đóng vai trò quan trọng trong việc duy trì sức khỏe răng miệng tổng thể. Tại Nha Khoa Quốc An, chúng tôi cung cấp dịch vụ khám nha khoa tổng quát chất lượng, giúp bạn bảo vệ nụ cười và sức khỏe răng miệng của mình. Nếu bạn cần thêm thông tin hoặc muốn đặt lịch khám, hãy liên hệ với chúng tôi để được tư vấn và hỗ trợ tận tình.
Bảng Giá Dịch Vụ Tại Quốc An









